日暮里の歯科自費診療専門サイト
医療法人社団 応佳会
市来歯科医院

市来歯科医院

ご予約・お問い合わせ
03-3805-3445
24時間受付
WEB予約
Instagram

MEDICAL

インプラントについて

歯を失ってしまった場合には

歯を失ってそのまま放置していると、残された歯の歯並びが大きく乱れ噛み合わせがズレたりし、健康にもさまざまな悪影響を与える可能性があります。
歯を失った際の治療としては入れ歯(義歯)や、残された両隣の歯を支えにするブリッジ、人工の歯根を埋め込むインプラントなどの治療があります。
絶対にこの治療法がベスト!というのはありません。
当院では患者様のお口の中の状態や状況、治療期間や費用など様々なご希望をふまえて一人ひとりに合った治療法を一緒に考えご提案致します。

インプラント治療の流れ

01
カウンセリング

カウンセリングにて現在のお悩みや症状をお聞かせください。
そこでどのようにしてインプラント治療を行うかなどの疑問・不安な部分について分かりやすく丁寧にご説明させていただきます。

02
口腔内診査

まず当院では口腔内診査を行います。
歯の状態や歯周病の状態、咬合(咬み合わせ)の状態などを把握するためお口全般の診査を行います。
この時にお口の中のスキャンや型取りを行います。

03
レントゲン診査

歯科用CT・レントゲンにて口腔内診査を行います。骨の状態や神経などとの位置関係を確認します。
当院には精密な検査ができる歯科用CTを完備しておりますのでより精密な検査が可能です。

04
理想的な歯の位置を決定

歯の模型やお口の中のスキャンを用いて歯科技工士が噛み合う歯や周囲の歯とのバランスを考慮し、理想的な歯の形態をデザインします。

05
インプラント埋入位置の検討・決定

歯科技工士がデザインした歯の形態に対して最適な位置となるようにインプラントの方向や角度などの位置を決定していきます。
最終的な歯を実際に制作する歯科技工士と共にインプラントの位置を検討することで、装着後のメンテナンスのしやすさなどを考慮することが可能です。

06
インプラント手術についての説明

制作したシミュレーションを元にインプラント手術の説明を行います。
この時に患者様個々のリスクや注意点等も説明を行います。不安なことや気になる点がある場合にはとことん説明を行います。

07
サージカルガイドを用いた埋入手術

シミュレーションを元に手術用のサージカルガイドと呼ばれるものを制作して手術に臨みます。このことによって事前の計画通りの位置にインプラントを埋入することが可能になります。また、手術用ガイドを用いる事によって手術時間の短縮にも繋がります。

08
術後のケア

インプラントの埋入手術後は通常10日前後で抜糸を行います。
手術の程度によって術後の経過は変わりますが、通常の埋入では術後に強い痛みや大きな腫れは認めないことが多いです。 。

09
上部構造の製作・装着

インプラントの埋入後3か月程度骨との結合を待った後に上部構造と呼ばれる「歯」の製作に移ります。
当院では必ず仮歯を製作し、使用してもらい痛みが無いことや噛み合わせに問題がないこと、ご自身でしっかり磨けることを確認した上で、セラミックでの最終的な上部構造を製作します。また、仮歯をずっと保管しておりますので、万が一上部構造が破折などで修理が必要になった場合にも、その仮歯を装着することで歯が無いということが無いようにすることが出来ます。

10
メンテナンス

インプラントは埋入して歯を付けて終わり!ではありません。
長い間問題なく使用して頂くために定期的なメンテナンスが必要です。
通常は3〜6か月間隔ですが、患者様ごとにリスクを考慮しメンテナンス期間を担当歯科衛生士と決定しています。

静脈内鎮静法

静脈内鎮静法とは

静脈内鎮静法とは、点滴を使用して麻酔薬を投与することによって歯科治療時の精神的・身体的ストレスを軽減することにより歯科治療を円滑にしストレスにより引き起こる全身的偶発症を予防する方法です。
それにより治療への不安や緊張などで血圧、心拍が上がらないためお体に負担がかからなくなります。
治療中はほとんど眠っているかのような、いわゆるウトウトした状態になりリラックスして治療を受けることができます。
静脈内鎮静法は1回につき約3時間程度までとなります。
市来歯科医院では歯科麻酔の専門医がつきっきりで術中管理を行います。
保険適応外となります。(65,000円/回)
静脈内鎮静法併用の治療も保険適用外となります。

こんな方にオススメ
歯科医院が怖い
口腔内に器具が入るのが苦手
歯科治療が嫌い
痛みに弱い
歯科治療中に具合が悪くなったことがある
音や匂いが苦手
型取りなどで吐き気が出る
(嘔吐反射)
なるべく一度にたくさん治療をしたい
持病がある
心臓病の方
高血圧の方
血圧コントロールが必要な方
適した治療内容
外科手術(インプラント手術、親知らずの抜歯など)
複数本の虫歯治療
清潔に精密な治療を行うため長時間お口を開ける治療(根っこの治療など)
注意事項
  1. 当日の術前のお食事や飲み物の制限があります。
  2. お薬を飲まれている方は指示があることがあります。
  3. お帰りになるまで少しお休みいただいてから帰るので時間がかかります。
  4. 持病がたくさんあり管理が難しい場合はできないこともあります。

当院では静脈内鎮静法を使用する場合、術中は全身管理を行う必要があるため日本歯科麻酔学会 認定医と連携して全身管理を行っています。
今までいろいろなことで治療が出来なかった患者様や他院でお断りされてしまった患者様、この方法に興味を持たれた患者様、まずはぜひお話、カウンセリングだけでもお待ちしています。

セラミック治療

セラミックは身体に優しく、最も審美性が高く、強度や耐久性にも優れている素材であり、自然な美しさを表現できる補綴物です。
また、金属を使用していないため、金属アレルギーの方でも使用でき、透明感のある自然な白さで笑顔になってもきれいな口元でいられるのが特徴です。
審美性も高く汚れも付着しづらいと言われています。
当院ではセレックや院内での歯科技工士によるセラミックのため費用も抑えられ、患者様にフィットしやすいセラミック治療が受けられます。
院内にいる歯科技工士は20〜40年以上のキャリアを積んでおり、ご満足いただけるセラミックを提供できる審美歯科治療です。

自然な見た目に仕上がるようこだわっております。

通常の歯科医院での詰め物・被せ物の治療では歯科技工士に依頼して治療を行いますが、歯科技工士は歯科医院にいない事が多く、写真などの情報だけで歯科技工士は作製していくことになります。
しかし、当院では院内に歯科技工所が併設し歯科技工士が3名在籍しています。
そのため、写真での情報だけでなく、実際に患者様のお口の状態を確認したり、実際の顔立ちを確認できたり、患者様も直接お話しすることができます。
そうすることでより患者様のご要望する詰め物・被せ物を製作することが可能となります。
より自然で精度の高い技工物の作製が可能になり、不安のない治療が進めることができます。
歯科技工士が在籍していることで「詰め物・被せ物の色味や形態を合わせる際に、歯科医師と密なコミュニケーションをとることができる」「歯形や指示書を送付する手間なく、短期間での作製や修理が可能」など、様々なメリットがあります。さらに、患者様の要望を直接歯科技工士に伝えられるため、イメージに近い治療結果を得られやすいという特徴があります。

「もっとお口元の見た目や噛み心地にこだわりたい」「入れ歯が破損したので早く修理してほしい」など、何でもご相談ください。歯科医師と歯科技工士が力を合わせて、対応させていただきます。

オールセラミック

セラミック100%の素材です。自然な色や透明感を再現できるので、周りの歯と見た目の変わらない詰め物や被せ物が作れます。また軽度であれば、歯並びもきれいに整えることが可能です。金属を使用していないので、金属アレルギーの方にもおすすめです。

ファイバーポスト

セラミック100%光の透過性のある、グラスファイバーの素材です。根管治療後に立てる土台として使います。一般的に使われる金属に比べてしなやかさがあり、歯根への負担を軽減し歯根の破折の可能性を減少できます。

ラミネートべニア

セラミック100%セラミックでできた薄い付け爪のような板です。歯を薄く削り、その上に貼り付けることで、歯の欠けやホワイトニングでは改善できない変色、軽度の噛み合わせを改善します。

ホワイトニング

気になる歯の黄ばみや黒ずみ……ホワイトニングは、歯を削ることなく、専用の薬剤(ホワイトニング剤)を使うことで歯を明るく白くします。

オフィスホワイトニング

歯科医院で行うホワイトニングです。ホームホワイトニングより濃度の高い薬剤を用いて特殊な光を30分程度当てて作用させる方法です。複数回行うことで白さを持続させます。

ホームホワイトニング

ご自宅で行うホワイトニングです。ホワイトニング剤を注入したマウスピース(歯科医院にて作製)を、毎日一定時間装着して歯を徐々に白くします。就寝時など好きな時間に行えます。

デュアルホワイトニング

歯科医院で行うオフィスホワイトニングとご自宅で行うホームホワイトニングを同時に行っていくホワイトニング方法です。 当院ではこの4回のオフィスホワイトニングと4週間のホームホワイトニングを行うデュアルホワイトニングを基本プランとして採用しております。 ※詳しくは当院までお問い合わせください。

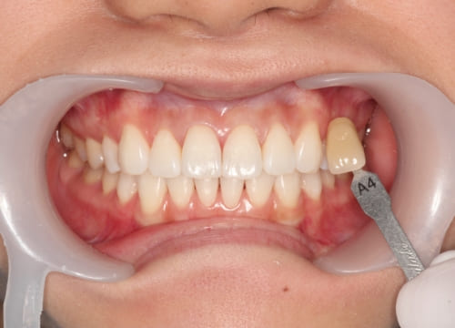
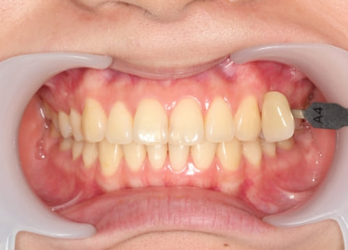
ホワイトニングについて

Before
After

適宜歯牙の色調をチェックして行い、オフィスホワイトニングの間隔は7-10日間です。
標準治療期間は4-6週間で価格は66,000円になります。

1日目

・初診にてカウンセリング、施行方法やリスク、副作用等の説明
・口腔内歯牙の色調測定を行い、初診時の状態の写真撮影
・マウスピース用の型を取ります。

2日目

PMTCを行い、オフィスホワイトニング1回目(30分間)
この日にマウスピースをお渡ししホームホワイトニングも併用で開始(4週間)

3日目

オフィスホワイトニング2回目(30分)

4日目

オフィスホワイトニング3回目(30分)

5日目

オフィスホワイトニング4回目(30分)

Tel
WEB予約
Instagram