日暮里の歯科自費診療専門サイト
医療法人社団 応佳会
市来歯科医院

市来歯科医院

ご予約・お問い合わせ
03-3805-3445
24時間受付
WEB予約
Instagram

MEDICAL

矯正歯科

歯科矯正治療とは
機能を改善する治療です。

機能を改善すると必然的に歯並びが綺麗になります。噛みにくいだけでは無く、口が閉じにくいなどの悩みを改善し、日々の生活を豊かにします。
歯ブラシのしづらい歯並びは虫歯のリスクだけでは無く、歯周病のリスクも併せ持ちます。
歯列矯正はそれらのリスクを減らすことが出来るのです。
また、年齢を気にされる方もいらっしゃいますが、おいくつになっても矯正治療は可能です。
当院では、矯正の専門医が矯正治療を実施しておりますので、気になる方はまずご相談してみてください。

ブラケットワイヤーによる矯正治療

ワイヤー&ブラケットによる矯正治療とは、1つ1つの歯にブラケットと呼ばれる装置を付け、そのブラケットをつなげるようにワイヤーで歯並び全体を固定する矯正法です。
ワイヤーで引っ張ることで歯を少しずつ移動させ、歯並びをキレイに整えていきます。矯正治療としてもっとも一般的に認知されている方法です。

歯の表面(または裏面)にブラケットという装置を取り付け、そこにワイヤーを通して力を掛けることで、少しずつ歯を動かしていきます。ワイヤー矯正は歯にブラケットを付けなければならないため、見た目に影響しかねませんが、ブラケットには金属以外にも、透明なプラスチックやセラミックでできたものもあります(クリアーブラケット、セラミックブラケット)。
ワイヤーにも複数の種類があり、審美性に優れたタイプもあります。

当院での治療症例
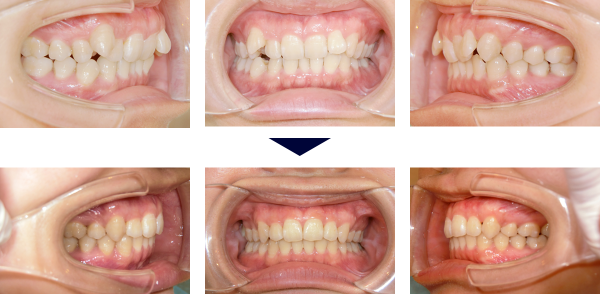
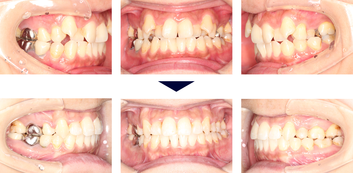
症例①

治療期間 約3年間
治療方法 マルチブラケット法(ワイヤー矯正)
治療費 880,000円
月に一度程度再診調整料として5,500円
治療におけるリスク 歯肉退縮 歯根吸収 歯牙移動による疼痛

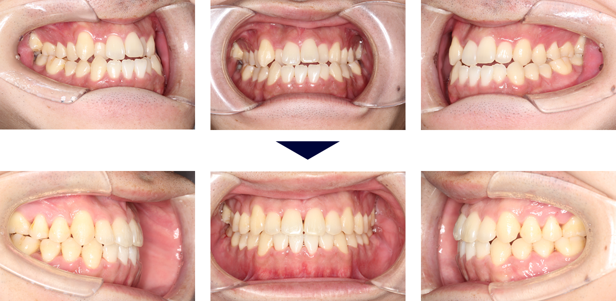
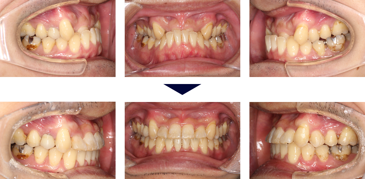
症例②

治療期間 2年3か月
治療方法 マルチブラケット法(ワイヤー矯正)
治療費 880,000円
月に一度程度、再診調整料として5,500円
治療におけるリスク、合併症 歯肉退縮 歯根吸収 歯牙移動による疼痛

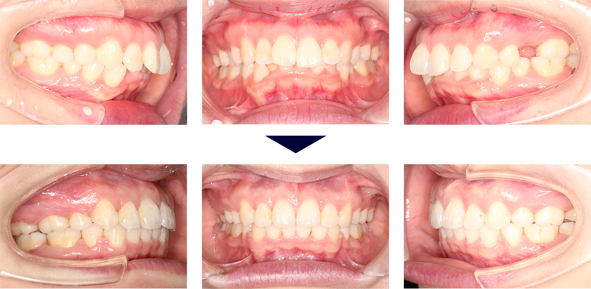
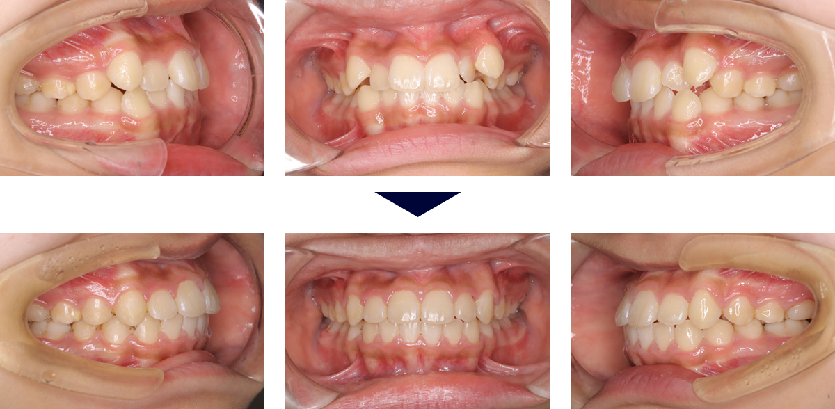
症例③

治療期間 3年2か月
治療方法 マルチブラケット法(ワイヤー矯正)
治療費 880,000円
月に一度程度、再診調整料として5,500円
治療におけるリスク、合併症 歯肉退縮 歯根吸収 歯牙移動による疼痛

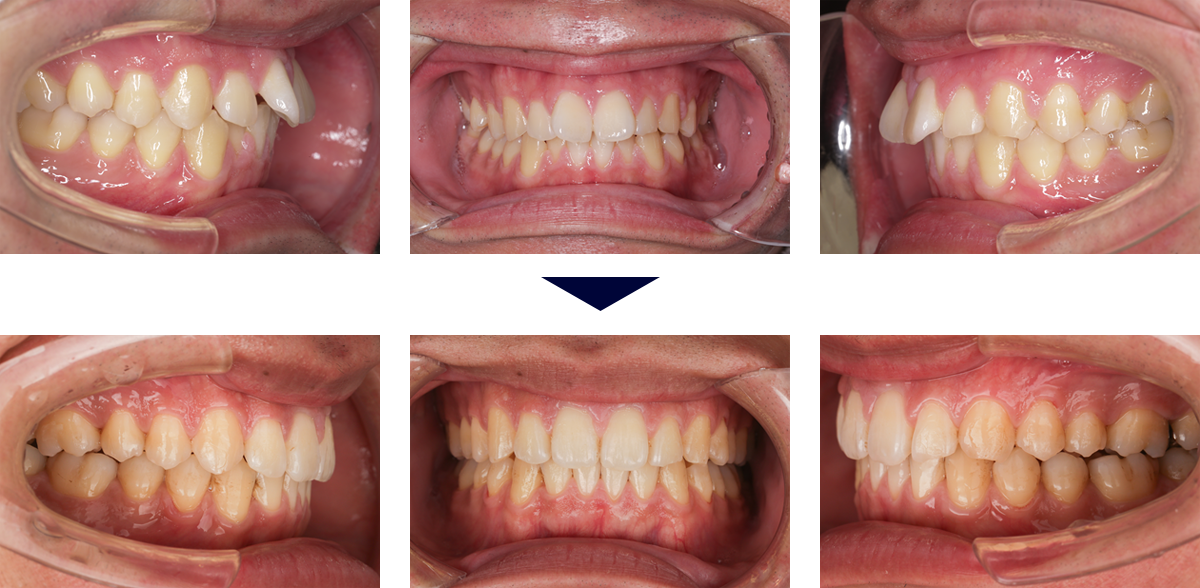
症例④

治療期間 3年1か月
治療方法 マルチブラケット法(ワイヤー矯正)
治療費 880,000円
月に一度程度、再診調整料として5,500円
治療におけるリスク、合併症 歯肉退縮 歯根吸収 歯牙移動による疼痛

症例⑤

治療期間 2年3か月
治療方法 マルチブラケット法(ワイヤー矯正)
治療費 880,000円
月に一度程度、再診調整料として5,500円
治療におけるリスク、合併症 歯肉退縮 歯根吸収 歯牙移動による疼痛

症例⑥

治療期間 3年6か月
治療方法 マルチブラケット法(ワイヤー矯正)
治療費 880,000円
月に一度程度、再診調整料として5,500円
治療におけるリスク、合併症 歯肉退縮 歯根吸収 歯牙移動による疼痛

症例⑦

治療期間 2年1か月
治療方法 マルチブラケット法(ワイヤー矯正)
治療費 880,000円
月に一度程度、再診調整料として5,500円
治療におけるリスク、合併症 歯肉退縮 歯根吸収 歯牙移動による疼痛

マウスピース矯正・インビザライン

「矯正をやりたいけど、装置が見えてしまうから嫌だ」という方もいらっしゃると思います。
近年では、そういった方のために“見えにくい矯正装置”も登場しています。
取り外し式の透明なマウスピースです。
1日20時間以上の装着が必要で、全ての症例で使えるというわけではありませんが、取り外しができるので歯磨きがしやすく、至近距離から見られても、ほぼ分かりません。

インビザライン(マウスピース型矯正装置)

インビザラインとはアラインテクノロジー社製の透明で目立たない審美性に優れたマウスピース矯正装置アライナーを使った矯正治療です。
当院では前歯のみを動かす「invisalign Go」と矯正医による全顎矯正の「invisalign」の両方のシステムを採用しております。
患者様一人ひとりの歯に合わせてオーダーメイドで作られており、治療の段階に合わせて1週間~2週間に1回新しい装置に交換しながら少しずつ歯を動かし、歯並びを改善します。

インビザラインの特徴
透明で目立たない
取り外しができる
治療計画をシミュレーションができる
金属アレルギーの心配がない
従来の矯正方法と比べて痛みが少ない

インビザライン(マウスピース型矯正装置)は透明で目立たず、周囲からも気にせず矯正治療が可能です。
また、取り外ずしができるため歯磨きや食事などの飲食もできるため、虫歯や歯周病のリスクも少なく衛生的に矯正治療ができます。
プラスティックのマウスピースのため痛みも軽減でき、金属アレルギーの心配がありません。

当院での治療症例
症例①

治療期間 1年6か月
治療方法 アライナー矯正(マウスピース矯正)*インビザライン
治療費 1,100,000円
2〜3ヶ月に一度程度、再診調整料として5,500円
治療におけるリスク、合併症 歯肉退縮 歯根吸収 歯牙移動による疼痛

部分矯正について

特定の歯だけを動かす矯正治療です。部分的に装置をつけ治療を行います。装置もケースによってさまざまです。通常の装置だけでなく、マウスピースによる治療も選択可能です。

メリット・デメリット

市来歯科医院では部分矯正をする場合でも、しっかりと検査を行ってから治療を行います。そのため、全体に装置をつけた場合とのシミュレーションをみながら比較することができます。

メリット

気になるところだけ治療するためリーズナブル
短期間で治療が終わるケースが多い

デメリット

部分的に装置をつけるため歯の動きに制限がある
歯並びによっては全体的な矯正でないと、良好な結果が得られない場合があるため相談が必要。

インビザラインGO(iGOシステム)について

インビザラインGOシステムは、マウスピース矯正で世界的に定評のあるインビザラインシステムを、前歯のお悩みに特化して矯正治療が行えるものです。
インビザラインGOシステムでは、薄くて透明なマウスピースを装着しているだけで、前歯の歯並びを徐々に整えていくことができます。

マウスピースは取り外し可能で、お食事や歯磨きの時には外していただきます。また、装着していても目立たず、違和感も少ないので、従来の矯正治療のデメリットのほとんどを克服していると言っても過言ではありません。また、前歯だけなので、治療期間が短いのも特長です。

当院での治療症例
症例①

治療期間 7か月
治療方法 アライナー矯正(マウスピース矯正)*インビザラインGo
治療費 440,000円
月に一度程度、再診調整料として3,300円
治療におけるリスク、合併症 歯肉退縮 歯根吸収 歯牙移動による疼痛

自費根管治療

準備中

Tel
WEB予約
Instagram