日暮里の歯科自費診療専門サイト
医療法人社団 応佳会
市来歯科医院

市来歯科医院

ご予約・お問い合わせ
03-3805-3445
24時間受付
WEB予約
Instagram

MEDICAL

メラニン除去

健康的な歯肉の色はピンク色ですが、喫煙の影響や、歯磨きや紫外線などの日常的な刺激により、メラニン色素の沈着によって変色してしまいます。ホワイトニングの普及により、最近では白い歯は比較的得やすい時代になりましたが、黒ずんだ歯肉は不健康な印象を持たれてしまうことがあり、笑顔をより魅力的にするにはホワイトニングに加え、歯肉のケアも大切です。

当院のメラニン除去について

当院ではモリタ社製Er:YAG(エルビウムヤグ)レーザーとマイクロスコープを用いて、メラニン除去を行います。
そのことによって、従来の方法と比べ、非常に低侵襲となり、術後の痛みも少なく、治癒が早くなります。施術時には少量の局所麻酔を行うため、処置後は約1時間〜3時間ほど麻酔が効いています。(個人差があります)
処置後は消炎鎮痛剤を処方しますが、通常強い痛みはなく、処置後歯肉が腫れるようなこともありませんのでご安心ください。
数日歯肉がしみるような症状が出ることがありますので、治癒するまでは刺激物の摂取は控えてください。また、歯肉が治癒するまでは歯ブラシはいつも以上に優しく行うようにしてください。
通常処置後1週間程度で歯肉は治癒してきます。
メラニンが残存した際には再度処置を行うことがあります。(別途の費用はかかりません)

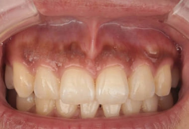
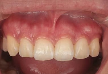
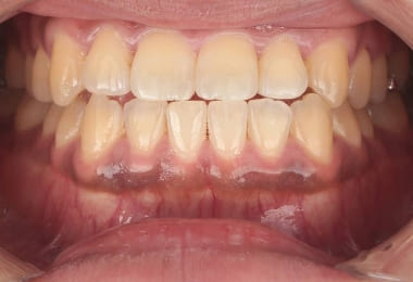
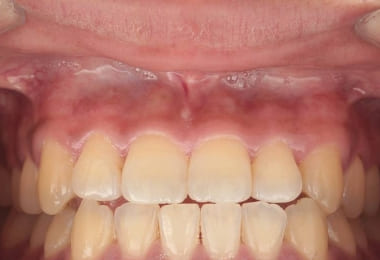
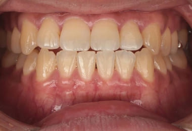
メラニン除去の症例
Before
1週間後
After
Before
2週間後
After
Before
2週間後
After
実際の治療風景はこちら

再生療法

自家血小板含有フィブリンゲル(以下CGF)とは?

通常、怪我をして血管が破れると、その血管の穴を埋めるために血液中の凝固因子が刺激されてフィブリンという物質が形成され、傷口をふさいで出血を止め傷の治りを促進します。
CGFは患者様ご自身の血液を専用の遠心分離機にかけることで抽出され、添加物が一切ない完全自己血液由来の血小板や成長因子を多く含んだフィブリンゲルです。
CGFは、損傷された組織の再生・治癒に働く「成長因子」を多く含んだ血小板がさらに濃縮されているもので、多くの利点があります。

CGFを用いた治療の利点

CGFは、傷の治癒や骨及び歯周組織の再生・回復に効果があるとされています。また、CGFを使用することで手後の痛みや感染を抑え、治癒を早める効果が期待できます。
これらの効果が100%保証されるわけではありませんが、治療に用いる十分な利点があると考えています。

CGFの流れ

01
血液採取

手術前もしくは手術中に患者様の血液を採血(約20〜40 ml)し、CGFを作ります。
このCGFは、他の骨補填剤と違って、何より完全自己血液なので感染症についても安心度が高い治療法になります。

02
CGFを作製

遠心分離機「メディフュージ」を使用し、CGFを作製します。
13分間の遠心分離により、赤血球が分離されるとともに成長因子や血小板を多く含むCGFが形成されます。

03
補填剤との混合

CGFの使用法としては骨を増やしたい場所に、骨補填剤(人工骨)と混ぜて使用することで、傷の治りを早くしたり、骨誘導再生法(GBR)の際に骨や歯周組織の再生・回復を期待します。
また、当院での再生療法においては厚生労働省へ届け出を行い、認可を取得しております。
安心してお任せください。

ダイレクトボンディング

準備中

Tel
WEB予約
Instagram